Incienso
Nombre Vulgar
Incienso, Cabriuvá
Nombre Científico
Myrocarpus frondosus
Distribución geográfica
Provincia de Misiones en la formación natural de selva, además se la encuentra en la parte norte de Corrientes. Su alta explotación hizo que su área se reduzca a las zonas de Reserva Provincial o Parques Nacionales. Actualmente se debe importar madera de Paraguay.
Descripción Macroscópica
Madera de color castaño claro a oscuro, dura y pesada, con una densidad de 0,840 a 0,860 g/cm3. Grano derecho o entrecruzado. Textura fina y homogénea. Con diseño espigado muy suave o liso.. Se destaca principalmente por el color y el olor agradable. Presenta estructura estratificada. Madera de gran durabilidad natural.
Anillos de crecimiento poco demarcados (líneas blancas casi invisibles a simple vista). Porosidad difusa, poros solitarios muy pequeños, con contenidos. Parénquima axial vasicéntrico, confluente y marginal.
Usos
Se utiliza en pisos tarugados, parquets, mueblería, ebanistería, carpintería en general, chapas para placas y compensados, marcos de puertas y ventanas, postes, varillas.
Sustitutos
La madera teñida de ligustro (Ligustrum lucidum), exótica y de crecimiento espontáneo en muchas localidades, puede ser un buen sustituto de esta especie ya que presenta un peso y textura similares.
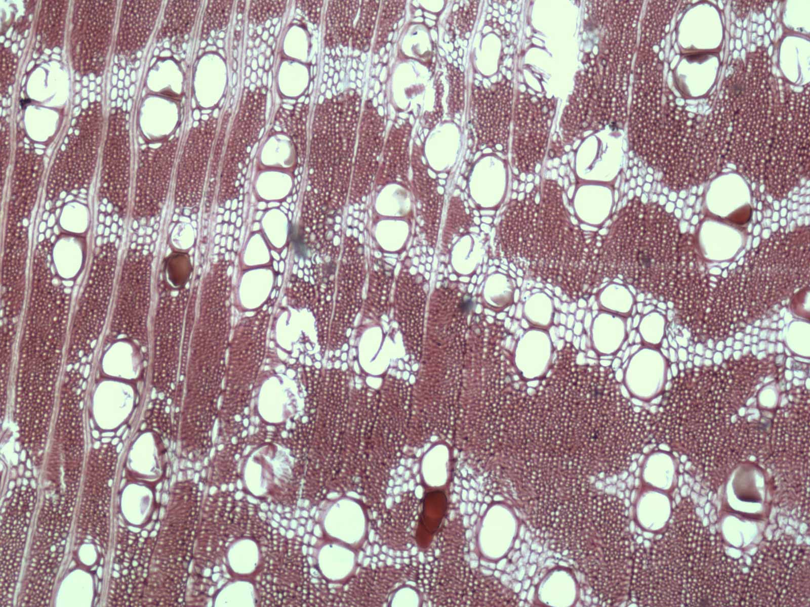
Descripción Microscópica
Anillos de crecimiento demarcados por achatamiento de fibras y parénquima marginal. Porosidad difusa, poros solitarios y 2-3 seriados, pequeños, sin disposición especial, con contenidos, con placas de perforación simples. Parénquima axial vasicéntrico, confluente y marginal, en series de 2-4 células. Radios leñosos 2-3 seriados, en menor proporción 1-seriados, heterogéneos. Con estructura estratificada completa. Fibras de paredes gruesas, de tipo libriformes. Cristales en radios y parénquima axial.
Herbario
Hojas compuestas, de 12 cm largo, imparipinadas, con 3-7 folíolos con peciolo breve aovado-lanceolados, de 2-7 cm largo por 1,5-4 cm ancho, acuminados, base obtusa, margen entero, glabras, con numerosos puntos translucidos oleíferos. Fruto sámara simétrica, elíptica a linear-fusiforme, comprimida 5-12 cm largo por 10-12 mm ancho.
Cátedra de Dendrología | Fac. Cs Agrarias y Forestales | UNLP | Diag. 113 Esq 61 | 1900 La Plata CC31 | Tel: 0221 4236616 Fax: 0221 4252346






